Các sự kiện
Liên hệ với chúng tôi
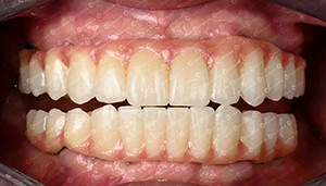
Trường hợp khách hàng. 4D Zirconia Block
2024-08-29
Người quản lý: Ivaylo Dimitrov từ Bulgaria
Vật liệu: Yucera 4D Pro Multilayer Zirconia Disc
Màu sắc: A1
2024-08-29
Người quản lý: Ivaylo Dimitrov từ Bulgaria
Vật liệu: Yucera 4D Pro Multilayer Zirconia Disc
Màu sắc: A1
Gửi yêu cầu của bạn trực tiếp đến chúng tôi
ĐỂ LẠI LỜI NHẮN
Chúng tôi sẽ gọi lại cho bạn sớm thôi!
Thông điệp của bạn phải có từ 20 đến 3000 ký tự!
Vui lòng kiểm tra email của bạn!
Thông tin nhiều hơn giúp giao tiếp tốt hơn.
Đã gửi thành công!
Chúng tôi sẽ gọi lại cho bạn sớm thôi!
ĐỂ LẠI LỜI NHẮN
Chúng tôi sẽ gọi lại cho bạn sớm thôi!
Thông điệp của bạn phải có từ 20 đến 3000 ký tự!
Vui lòng kiểm tra email của bạn!